Background
Maintaining neuronal membrane integrity is crucial for cognition. As humans age, mutations occur throughout our cells' genetic material resulting in a myriad of problems. One such problem is metabolism, by which transporters in our intestinal epithelial cells can no longer efficiently transport vital nutrients into the bloodstream. Another issue, independent of age is dietary intake. An insufficient amount of a nutrient may negatively impact cognition due to the impact of the missing nutrient on cell integrity or neurotransmission. The last problem mentioned is the impact of chronically used pharmaceutical agents on cognition. A significant player in neuron death is excitotoxicity, which can result from too much excitatory signaling following the administration of a pharmaceutical agent. Pharmaceutical agents, especially ones where the dose is in the upper limit and usage is chronic, can alter gene expression in the neurons resulting in tolerance, toxicity, and baseline levels of a gene to be disrupted even after use ceases. The problems previously mentioned call for a solution that aids in restoring neurotransmission and maintaining neuron integrity.
Maintaining neuronal membrane integrity is crucial for cognition. As humans age, mutations occur throughout our cells' genetic material resulting in a myriad of problems. One such problem is metabolism, by which transporters in our intestinal epithelial cells can no longer efficiently transport vital nutrients into the bloodstream. Another issue, independent of age is dietary intake. An insufficient amount of a nutrient may negatively impact cognition due to the impact of the missing nutrient on cell integrity or neurotransmission. The last problem mentioned is the impact of chronically used pharmaceutical agents on cognition. A significant player in neuron death is excitotoxicity, which can result from too much excitatory signaling following the administration of a pharmaceutical agent. Pharmaceutical agents, especially ones where the dose is in the upper limit and usage is chronic, can alter gene expression in the neurons resulting in tolerance, toxicity, and baseline levels of a gene to be disrupted even after use ceases. The problems previously mentioned call for a solution that aids in restoring neurotransmission and maintaining neuron integrity.
Biology of Cell Membranes
There are several biology courses that focus on the fundamental components of the cell. Unfortunately, these lectures do a great disservice t demonstrating the importance of the cell membrane. As previously described, the cell membrane is involved in cell-to-cell recognition, cell signaling, enzymatic reactions, and separating the intracellular contents from the extracellular space. The cell membrane does not just desperate the spaces, it manipulates the environment and receives feedback from the molecules present. In relevance to brain health, the cell membrane of neurons is especially important because it is the hydrophobic nature of the membrane that allows neurotransmitters to be released into the synapse. These membranes are made of molecules called phosphatides, with the most abundant being phosphatidylcholine.
There are several biology courses that focus on the fundamental components of the cell. Unfortunately, these lectures do a great disservice t demonstrating the importance of the cell membrane. As previously described, the cell membrane is involved in cell-to-cell recognition, cell signaling, enzymatic reactions, and separating the intracellular contents from the extracellular space. The cell membrane does not just desperate the spaces, it manipulates the environment and receives feedback from the molecules present. In relevance to brain health, the cell membrane of neurons is especially important because it is the hydrophobic nature of the membrane that allows neurotransmitters to be released into the synapse. These membranes are made of molecules called phosphatides, with the most abundant being phosphatidylcholine.
[Picture]
(Structure of the Plasma Membrane (Khan Academy)
Biochemistry of Cell Membranes
The formation of phosphatidylcholine is dependent on the reaction between choline and cytidine triphosphate to form cytidine diphosphocholine or CDP-choline. CDP-choline can then react with diacylglycerol, found in the cell membrane, to form phosphatidylcholine. Since this is a complex set of reactions, there must be enough precursor molecules, choline, cytidine triphosphate, and diacylglycerol, to adequately produce phosphatidylcholine. Since cytidine and uridine are both pyrimidines, an increase in circulating uridine will cause an increase in cytidine because they can be converted into one another rather easily. Since diacylglycerol is also a precursor to phosphatidylcholine, a polyunsaturated fatty acid such as docosahexaenoic acid (DHA) may be used to increase the levels of diacylglycerol when needed.
The formation of phosphatidylcholine is dependent on the reaction between choline and cytidine triphosphate to form cytidine diphosphocholine or CDP-choline. CDP-choline can then react with diacylglycerol, found in the cell membrane, to form phosphatidylcholine. Since this is a complex set of reactions, there must be enough precursor molecules, choline, cytidine triphosphate, and diacylglycerol, to adequately produce phosphatidylcholine. Since cytidine and uridine are both pyrimidines, an increase in circulating uridine will cause an increase in cytidine because they can be converted into one another rather easily. Since diacylglycerol is also a precursor to phosphatidylcholine, a polyunsaturated fatty acid such as docosahexaenoic acid (DHA) may be used to increase the levels of diacylglycerol when needed.
[Picture]
(Cansev & Wurtman, 2007)
The Trifecta for Neuronal Membrane Integrity
Since the synthesis of phosphatidylcholine, a major player of the neuronal cell membrane requires choline, diacylglycerol, and cytidine triphosphate, supplements can be taken to indirectly increase phosphatidylcholine synthesis. First, a choline source is vital for phosphatidylcholine synthesis as well as acetylcholine synthesis. Secondly, uridine monophosphate (UMP) can be supplemented to indirectly increase the levels of cytidine triphosphate. Lastly, DHA, an omega-3 polyunsaturated fatty acid can be supplemented to increase levels of available diacylglycerol. Altogether, the three ingredients, choline, UMP, and DHA should be considered when maximizing neuronal membrane integrity.
Since the synthesis of phosphatidylcholine, a major player of the neuronal cell membrane requires choline, diacylglycerol, and cytidine triphosphate, supplements can be taken to indirectly increase phosphatidylcholine synthesis. First, a choline source is vital for phosphatidylcholine synthesis as well as acetylcholine synthesis. Secondly, uridine monophosphate (UMP) can be supplemented to indirectly increase the levels of cytidine triphosphate. Lastly, DHA, an omega-3 polyunsaturated fatty acid can be supplemented to increase levels of available diacylglycerol. Altogether, the three ingredients, choline, UMP, and DHA should be considered when maximizing neuronal membrane integrity.
Choline
Choline is an essential nutrient with a recommended daily intake of 550 mg/day. More recent studies utilizing choline sources such as CDP-choline and alpha-GPC have used up to 1,200 mg/day with promising results and without any adverse effects. Alpha-GPC is reported to cross the blood-brain barrier more efficiently than other forms of choline and is able to raise acetylcholine levels in the hippocampus. A more recent 2022 paper found that alpha-GPC can enhance brain-derived neurotrophic factor (BDNF) and neuronal differentiation in the hippocampus. There are two papers in the last 5 years citing evidence that alpha-GPC may promote the formation of calcifications in the vasculature (atherosclerosis), so abuse of this supplement may not be warranted. The target dose for increasing acetylcholine via alpha-GPC is 300-600 mg/day. A later blog post will be analyzing the use of an alpha-GPC supplement as a cognitive enhancer. Although alpha-GPC is a valuable form of acetylcholine that promotes cognition-enhancing effects, CDP-choline is more valuable to this stack due to its immediate use in phosphatidylcholine synthesis. CDP-choline in this stack is useful at a dose of 100-600 mg/day with a majority of users finding that 200-400 mg/day works best.
Choline is an essential nutrient with a recommended daily intake of 550 mg/day. More recent studies utilizing choline sources such as CDP-choline and alpha-GPC have used up to 1,200 mg/day with promising results and without any adverse effects. Alpha-GPC is reported to cross the blood-brain barrier more efficiently than other forms of choline and is able to raise acetylcholine levels in the hippocampus. A more recent 2022 paper found that alpha-GPC can enhance brain-derived neurotrophic factor (BDNF) and neuronal differentiation in the hippocampus. There are two papers in the last 5 years citing evidence that alpha-GPC may promote the formation of calcifications in the vasculature (atherosclerosis), so abuse of this supplement may not be warranted. The target dose for increasing acetylcholine via alpha-GPC is 300-600 mg/day. A later blog post will be analyzing the use of an alpha-GPC supplement as a cognitive enhancer. Although alpha-GPC is a valuable form of acetylcholine that promotes cognition-enhancing effects, CDP-choline is more valuable to this stack due to its immediate use in phosphatidylcholine synthesis. CDP-choline in this stack is useful at a dose of 100-600 mg/day with a majority of users finding that 200-400 mg/day works best.
[Picture]
Effects of alpha-GPC supplementation on the novel object test after exposure to a non-stressor or stressor. (Jeong Yu et al., 2022).
Uridine Monophosphate
Uridine monophosphate acts as a reservoir for cytidine, such that uridine monophosphate can increase levels of cytidine triphosphate. This increase in cytidine triphosphate can lead to an increase in phosphatidylcholine synthesis. However, there are studies alluding to the fact that uridine monophosphate may also impact neurite formation through increased phosphatidylcholine. The first paper was conducted in vitro and demonstrated that uridine was able to increase the number of neurites, or neuron projections, compared to control cells. To determine the mechanism by which uridine monophosphate was increasing neurite abundance, cells were treated with apyrase. Apyrase is an enzyme that cleaves diphosphate and triphosphate nucleotide compounds, suggesting that UMP increases CTP levels which can increase neuritogenesis.
Uridine monophosphate acts as a reservoir for cytidine, such that uridine monophosphate can increase levels of cytidine triphosphate. This increase in cytidine triphosphate can lead to an increase in phosphatidylcholine synthesis. However, there are studies alluding to the fact that uridine monophosphate may also impact neurite formation through increased phosphatidylcholine. The first paper was conducted in vitro and demonstrated that uridine was able to increase the number of neurites, or neuron projections, compared to control cells. To determine the mechanism by which uridine monophosphate was increasing neurite abundance, cells were treated with apyrase. Apyrase is an enzyme that cleaves diphosphate and triphosphate nucleotide compounds, suggesting that UMP increases CTP levels which can increase neuritogenesis.
[Picture]
In vitro assay demonstrated that incubating 50uM of UMP with a fixed number of neurons increased neurite outgrowth. (Pooler et al., 2005)
[Picture]
(B) 4 day incubation of UMP at 50uM was able to signficantly increase mean number of neurites per neuron. (D) 50uM of UMP increases mean number of branch points per neuron. (Pooler et al., 2005)
Another paper looking at dopamine release found that uridine monophosphate administration increased striatal potassium-induced dopamine release. This paper also confirms that UMP treatment increases neurofilament-70 and neurofilament-M proteins which are hallmark proteins involved in neuritogenesis. Although there are limited human studies, a 2011 trial found that UMP significantly decreased symptoms of depression. It should be mentioned that uridine monophosphate is not heavily researched, but the residing research seems to be extremely promising for future trials. Altogether, a dose of 100-500 mg/day is well-tolerated in humans and demonstrates positive effects. There have been reports using up to 1,000 mg/day without any severe adverse effects.
[Picture]
UMP supplementation increases potassium-evoked dopamine release in the striatum. (Wang et al., 2005)
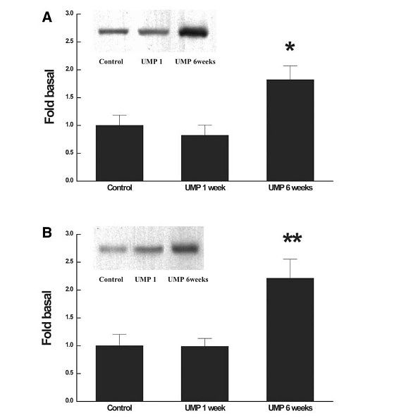
[Picture]
The effects of UMP supplementation on levels of neurofilament-70 (A) and neurofilament-M (B). (Wang et al., 2005)
Docosahexaenoic Acid
Docosahexaenoic acid (DHA) is an omega-3 polyunsaturated fatty acid involved in a myriad of physiological processes. Although it is commonly found in fish oil, the recommended daily intake of 1,000 mg/day is rarely met in Americans. DHA has pronounced effects on inflammation and brain health. It is referred to as a pleiotropic molecule in the brain because it can assist structurally and impact neurotransmission. DHA is structurally important for phosphatidylcholine synthesis and cell membrane integrity. DHA supplementation when combined with uridine monophosphate administration was also found to have a positive effect on the restoration of dopaminergic neurons. A 2008 study investigated the effects of DHA and uridine supplementation on pre- and post-synaptic membranes, concluding that the combination was effective at increasing synaptic membrane number. A similar study using DHA and uridine found that synaptic membrane levels were significantly increased in the DHA + uridine group compared to control groups. Altogether, there are countless studies referencing the benefits of DHA on overall health, however, relevant to neuronal membrane integrity, DHA has a positive impact on synaptic membrane levels when taken with uridine.
Docosahexaenoic acid (DHA) is an omega-3 polyunsaturated fatty acid involved in a myriad of physiological processes. Although it is commonly found in fish oil, the recommended daily intake of 1,000 mg/day is rarely met in Americans. DHA has pronounced effects on inflammation and brain health. It is referred to as a pleiotropic molecule in the brain because it can assist structurally and impact neurotransmission. DHA is structurally important for phosphatidylcholine synthesis and cell membrane integrity. DHA supplementation when combined with uridine monophosphate administration was also found to have a positive effect on the restoration of dopaminergic neurons. A 2008 study investigated the effects of DHA and uridine supplementation on pre- and post-synaptic membranes, concluding that the combination was effective at increasing synaptic membrane number. A similar study using DHA and uridine found that synaptic membrane levels were significantly increased in the DHA + uridine group compared to control groups. Altogether, there are countless studies referencing the benefits of DHA on overall health, however, relevant to neuronal membrane integrity, DHA has a positive impact on synaptic membrane levels when taken with uridine.
[Picture]
Impact of UMP plus DHA supplement on total phospholipids in both lesioned and intact striatum in a rodent model. (Cansev et al., 2008)
[Picture]
Impact on treatments on lesioned side of the striatum in a rodent model. The result indicated that UMP plus DHA supplementation significantly increased synapsin-1 levels, a protein involved in neuron formation. (Cansev et al., 2008)
Conclusions
Maintaining neuronal membrane integrity is an ever-important function that requires a variety of precursors. Providing sources for the precursors in the forms of uridine monophosphate, choline, and Docosahexaenoic acid is useful for promoting membrane integrity. Along with the fundamental benefits that go along with membrane integrity, the combination of DHA and UMP increases the number of neurites or neuronal connections. Other reports have found that administration of UMP increases potassium-induced striatal dopamine release which can be useful when maximizing productivity. In conclusion, the combination of CDP-choline, UMP, and DHA provides an increase in phosphatidylcholine, the main component of the cell membrane which results in an increase in neurite projections and associated improvements in cognition.
Maintaining neuronal membrane integrity is an ever-important function that requires a variety of precursors. Providing sources for the precursors in the forms of uridine monophosphate, choline, and Docosahexaenoic acid is useful for promoting membrane integrity. Along with the fundamental benefits that go along with membrane integrity, the combination of DHA and UMP increases the number of neurites or neuronal connections. Other reports have found that administration of UMP increases potassium-induced striatal dopamine release which can be useful when maximizing productivity. In conclusion, the combination of CDP-choline, UMP, and DHA provides an increase in phosphatidylcholine, the main component of the cell membrane which results in an increase in neurite projections and associated improvements in cognition.
Meet The Author
Hello everyone,
My name is Joshua Giblin. I am a post-bachelor researcher/research technician at USC. My interests range from nutrition to nanomedicine and also practical science to improve everyday life. Through this blog, I aim to communicate practical scientific research and present it to curious individuals so that an educated decision can be made. Thank you for reading the blog and showing your support.
Literature cited
- Arenth, P. M., Russell, K. C., Ricker, J. H., & Zafonte, R. D. (2011). CDP-Choline as a Biological Supplement During Neurorecovery: A Focused Review. PM&R, 3(6, Supplement), S123–S131. https://doi.org/10.1016/j.pmrj.2011.03.012
- Cansev, M., Ulus, I. H., Wang, L., Maher, T. J., & Wurtman, R. J. (2008). Restorative effects of uridine plus docosahexaenoic acid in a rat model of Parkinson’s disease. Neuroscience Research, 62(3), 206–209. https://doi.org/10.1016/j.neures.2008.07.005
- Cansev, M., & Wurtman, R. J. (2007). Chronic administration of docosahexaenoic acid or eicosapentaenoic acid, but not arachidonic acid, alone or in combination with uridine, increases brain phosphatide and synaptic protein levels in gerbils. Neuroscience, 148(2), 421–431. https://doi.org/10.1016/j.neuroscience.2007.06.016
- Jeengar, M. K., Thummuri, D., Magnusson, M., Naidu, V. G. M., & Uppugunduri, S. (2017). Uridine Ameliorates Dextran Sulfate Sodium (DSS)-Induced Colitis in Mice. Scientific Reports, 7(1), 3924. https://doi.org/10.1038/s41598-017-04041-9
- Jeong Yu, H., Lin Kim, Y., Jung Kim, M., Mee Park, J., Young Park, S., Nae Park, S., & Won Yang, D. (2022). The effect of choline alphoscerate on non spatial memory and neuronal differentiation in a rat model of dual stress. Brain Research, 1786, 147900. https://doi.org/10.1016/j.brainres.2022.147900
- Kondo, D. G., Sung, Y.-H., Hellem, T. L., Delmastro, K. K., Jeong, E.-K., Kim, N., Shi, X., & Renshaw, P. F. (2011). Open-Label Uridine for Treatment of Depressed Adolescents with Bipolar Disorder. Journal of Child and Adolescent Psychopharmacology, 21(2), 171–175. https://doi.org/10.1089/cap.2010.0054
- Li, B., Zhou, H., Wu, X., Chen, Z., Yao, J., & Yin, Y. (2016). Effects of dietary supplementation with uridine monophosphate on performance and intestinal morphology of weanling piglets1. Journal of Animal Science, 94(suppl_3), 82–86. https://doi.org/10.2527/jas.2015-9440
- Lopez, C. M., Govoni, S., Battaini, F., Bergamaschi, S., Longoni, A., Giaroni, C., & Trabucchi, M. (1991). Effect of a new cognition enhancer, alpha-glycerylphosphorylcholine, on scopolamine-induced amnesia and brain acetylcholine. Pharmacology Biochemistry and Behavior, 39(4), 835–840. https://doi.org/10.1016/0091-3057(91)90040-9
- Nutrients | Free Full-Text | DHA Effects in Brain Development and Function. (n.d.). Retrieved September 13, 2022, from https://www.mdpi.com/2072-6643/8/1/6
- Ocalan, B., Cakir, A., Koc, C., Suyen, G. G., & Kahveci, N. (2019). Uridine treatment prevents REM sleep deprivation-induced learning and memory impairment. Neuroscience Research, 148, 42–48. https://doi.org/10.1016/j.neures.2019.01.003
- Pooler, A. M., Guez, D. H., Benedictus, R., & Wurtman, R. J. (2005). Uridine enhances neurite outgrowth in nerve growth factor-differentiated pheochromocytoma cells. Neuroscience, 134(1), 207–214. https://doi.org/10.1016/j.neuroscience.2005.03.050
- Structure of the plasma membrane (article). (n.d.). Khan Academy. Retrieved September 15, 2022, from https://www.khanacademy.org/science/ap-biology/cell-structure-and-function/plasma-membranes/a/structure-of-the-plasma-membrane
- Tuboly, E., Gáspár, R., Ibor, M. O., Gömöri, K., Kiss, B., Strifler, G., Hartmann, P., Ferdinandy, P., Bartekova, M., Boros, M., & Görbe, A. (2019). l-Alpha-glycerylphosphorylcholine can be cytoprotective or cytotoxic in neonatal rat cardiac myocytes: A double-edged sword phenomenon. Molecular and Cellular Biochemistry, 460(1), 195–203. https://doi.org/10.1007/s11010-019-03580-1
- Uridine Ameliorates Dextran Sulfate Sodium (DSS)-Induced Colitis in Mice | Scientific Reports. (n.d.). Retrieved September 13, 2022, from https://www.nature.com/articles/s41598-017-04041-9
- Wang, L., Pooler, A. M., Albrecht, M. A., & Wurtman, R. J. (2005). Dietary Uridine-5’-Monophosphate Supplementation Increases Potassium-Evoked Dopamine Release and Promotes Neurite Outgrowth in Aged Rats. Journal of Molecular Neuroscience, 27(1), 137–146. https://doi.org/10.1385/JMN:27:1:137
- Wang, Z., Hazen, J., Jia, X., Org, E., Zhao, Y., Osborn, L. J., Nimer, N., Buffa, J., Culley, M. K., Krajcik, D., van den Born, B.-J. H., Zwinderman, K., Levison, B. S., Nieuwdorp, M., Lusis, A. J., DiDonato, J. A., & Hazen, S. L. (2021). The Nutritional Supplement L-Alpha Glycerylphosphorylcholine Promotes Atherosclerosis. International Journal of Molecular Sciences, 22(24), 13477. https://doi.org/10.3390/ijms222413477